Comment se brosser les dents avec un appareil dentaire ?

Se brosser les dents avec le matériel adapté Pendant un traitement d’orthodontie, vous devez utiliser une brosse à dent souple, ainsi qu’une brossette inter-dentaire ou du fil dentaire (sauf avec des « bagues ») pour accéder à tous les endroits. Pour un brossage efficace, il est conseillé de se brosser les dents de haut en bas. Vous […]
Comment nettoyer ma “gouttière” ?

Les “gouttières” sont faciles à nettoyer Les “gouttières” se nettoient avec une brosse à dent et du dentifrice. Il est aussi conseillé de les désinfecter au moins une fois par semaine avec des comprimés adaptés qui s’achètent en pharmacie. Selon votre traitement, il faut changer la “gouttière” tous les 7 à 15 jours. C’est votre […]
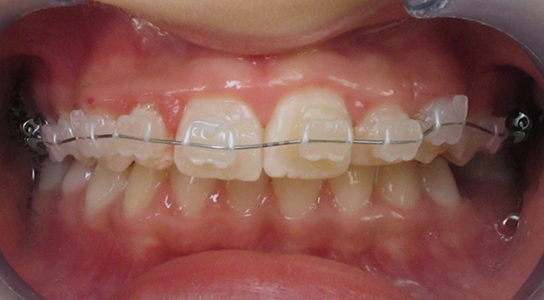
Les bagues transparentes jaunissent-elles ?

Les « bagues » ne peuvent pas jaunir On pense souvent que les « bagues » transparentes jaunissent avec le temps. Ce ne sont pas les « bagues » qui peuvent jaunir, mais les élastiques transparents posés autour de chaque “bague”. Les élastiques peuvent changer de couleur ou jaunir à cause du thé, du café, de colorants alimentaires ou […]
Comment faire pour se brosser les dents à la cantine ?

Utilisez une brosse à dents passe-partout Pour que votre enfant puisse se brosser les dents après chaque repas, y compris lorsqu’il est à l’école, vous pouvez lui donner une brosse à dents pliante de voyage, facile à emporter partout ! Si nécessaire, vous pouvez demander à la maîtresse (ou un accompagnateur) de surveiller le brossage des […]